- Home >
- Cosmetic Gallery
Cosmetic Gallery
Pre-Op: Full mouth reconstruction to cosmetic crowns
Pre-Op: Full mouth reconstruction to cosmetic crowns
Pre-Op: Full mouth reconstruction to cosmetic crowns
Pre-Op: Full mouth reconstruction to cosmetic crowns
Post-Op (Same Day): Full mouth reconstruction to cosmetic crowns
Post-Op (Same Day): Full mouth reconstruction to cosmetic crowns
Post-Op (Same Day): Full mouth reconstruction to cosmetic crowns
Post-Op (Same Day): Full mouth reconstruction to cosmetic crowns
Pre-Op
Pre-Op: Patient wanted to whiten, smoothen, and fix discoloration
Pre-Op
Pre-Op: Patient wanted to whiten, smoothen, and fix discoloration
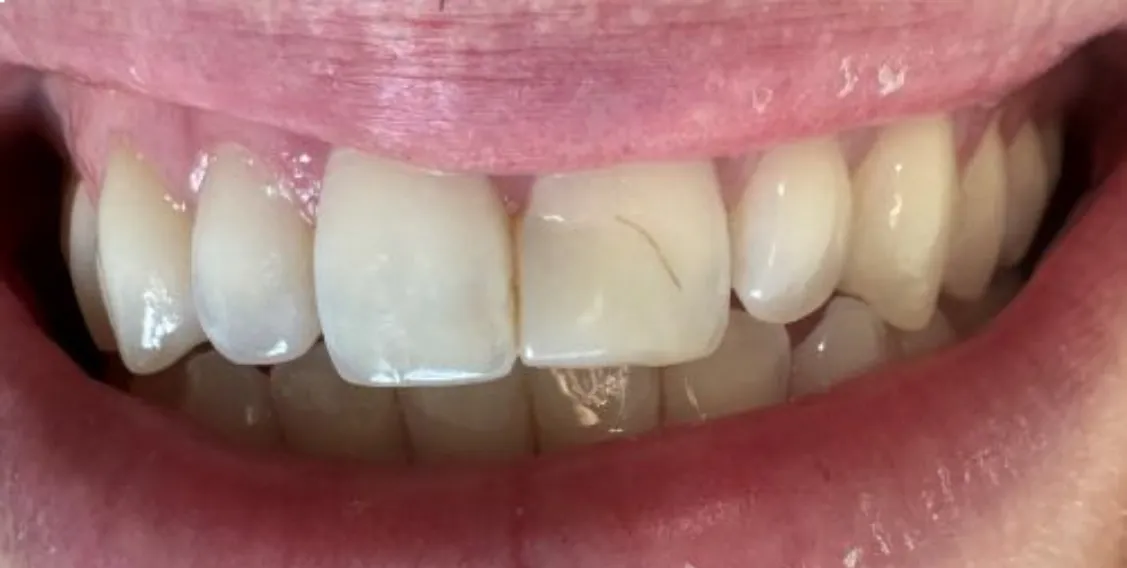
Pre-op: patient wanted to correct chipped tooth and alignment of anterior teeth
Pre-op: patient wanted to correct chipped tooth and alignment of anterior teeth
Pre-op: patient wanted to correct chipped tooth and alignment of anterior teeth
Pre-op: patient wanted to correct chipped tooth and alignment of anterior teeth
Post-op: minimal prep veneers to address patient's aesthetic of anterior teeth
Post-op (same day): minimal prep veneers to address patient's aesthetic of anterior teeth
Post-op: minimal prep veneers to address patient's aesthetic of anterior teeth
Post-op (same day): minimal prep veneers to address patient's aesthetic of anterior teeth
pre-op: patient did not like size, shape, and discoloration of anterior teeth
Pre-op: patient did not like size, shape, and discoloration of anterior teeth
pre-op: patient did not like size, shape, and discoloration of anterior teeth
Pre-op: patient did not like size, shape, and discoloration of anterior teeth
Post-op (same day): corrected with veneers for 6 anterior teeth for a uniform finish
Post-op (same day): corrected with veneers for 6 anterior teeth for a uniform finish
Post-op (same day): corrected with veneers for 6 anterior teeth for a uniform finish
Post-op (same day): corrected with veneers for 6 anterior teeth for a uniform finish
Post-Op (Same day)
Post-Op (Same day)
Post-Op (Same day)
Post-Op (Same day)
Pre-Op: Patient wanted to close front teeth gap (diastema) and fix discoloration
Pre-Op: Patient wanted to close front teeth gap (diastema) and fix discoloration
Pre-Op: Patient wanted to close front teeth gap (diastema) and fix discoloration
Pre-Op: Patient wanted to close front teeth gap (diastema) and fix discoloration
Post-Op (Same Day)
Post-Op (Same Day): corrected with simple resin veneers (bonding) to create natural-looking smile while addressing patient's concerns
Post-Op (Same Day)
Post-Op (Same Day): corrected with simple resin veneers (bonding) to create natural-looking smile while addressing patient's concerns
Pre-Op: Bonding
Pre-Op: Patient wanted to close tooth gap
Pre-Op: Bonding
Pre-Op: Patient wanted to close tooth gap
Post-Op (same day)
Post-Op (same day): Simple bonding to address patient concerns. This alternative is more cost-effective than porcelain crowns
Post-Op (same day)
Post-Op (same day): Simple bonding to address patient concerns. This alternative is more cost-effective than porcelain crowns
Pre-Op: Bonding
Pre-Op: Broken teeth and decay
Pre-Op: Bonding
Pre-Op: Broken teeth and decay
Post-Op (same day)
Post-Op (same day): Simple fix with natural, tooth-colored filling
Post-Op (same day)
Post-Op (same day): Simple fix with natural, tooth-colored filling
Pre-Op
Pre-Op- Loss of tooth structure and gum-line due to aggressive chronic brushing add grinding/clenching will magnify 5x damage
Pre-Op
Pre-Op- Loss of tooth structure and gum-line due to aggressive chronic brushing add grinding/clenching will magnify 5x damage
Post-Op (Same day)
Post-Op (Same day): Bonding at recession gumline
Post-Op (Same day)
Post-Op (Same day): Bonding at recession gumline
Pre-Op
Pre-Op -Tooth loss due to repeated aggressive improper brushing techniques. (see above tooth on your right)
Pre-Op
Pre-Op -Tooth loss due to repeated aggressive improper brushing techniques. (see above tooth on your right)
Post-Op (Same day)
Post-Op (Same day): Simple Bonding instantly transform the tooth, to fill the tooth loss and recession area at gumline (see above tooth on your right)
Post-Op (Same day)
Post-Op (Same day): Simple Bonding instantly transform the tooth, to fill the tooth loss and recession area at gumline (see above tooth on your right)
Pre-Op: Old leaked decayed silver filling
Pre-Op: Old leaked decayed silver filling
Pre-Op: Old leaked decayed silver filling
Pre-Op: Old leaked decayed silver filling
Post-Op (Same day): Tooth Color Fillings
Post-Op (Same day): Tooth Color Fillings
Post-Op (Same day): Tooth Color Fillings
Post-Op (Same day): Tooth Color Fillings
Pre-Op: Bonding
Pre-Op: Patient wanted to fix diastema (tooth gap) on the front two teeth
Pre-Op: Bonding
Pre-Op: Patient wanted to fix diastema (tooth gap) on the front two teeth
Post-Op (Same day): Bonding
Post-Op (Same Day): Bonding to address patient concerns and maintain natural-looking smile
Post-Op (Same day): Bonding
Post-Op (Same Day): Bonding to address patient concerns and maintain natural-looking smile
Pre-op: patient wanted to correct diastema in upper front teeth
Pre-op: patient wanted to correct diastema in upper front teeth
Pre-op: patient wanted to correct diastema in upper front teeth
Pre-op: patient wanted to correct diastema in upper front teeth
Post-op (same day): 4 bondings to fix diastema
Post-op (same day): 4 bondings to fix diastema
Post-op (same day): 4 bondings to fix diastema
Post-op (same day): 4 bondings to fix diastema
Pre-Op: Tooth Color Filling/Bonding
Pre-Op: Decay and discoloration
Pre-Op: Tooth Color Filling/Bonding
Pre-Op: Decay and discoloration
Post-Op (Same day): Tooth Color Filling/Bonding
Post-Op (Same Day): Tooth Color Filling to address tooth decay as well as Bonding to address discoloration
Post-Op (Same day): Tooth Color Filling/Bonding
Post-Op (Same Day): Tooth Color Filling to address tooth decay as well as Bonding to address discoloration