Menu

Resin Veneers and Bonding

Sedation Dentistry in Reston, VA


RESIN VENEERS 

Enhance your smile with natural-looking, affordable cosmetic dentistry.

Resin veneers are a minimally invasive cosmetic solution designed to improve the appearance of your teeth by correcting discoloration, chips, gaps, or minor misalignment. Made from a tooth-colored composite resin, these veneers are expertly sculpted and bonded directly to the front surface of your teeth to create a brighter, more uniform smile.

Unlike porcelain veneers, resin veneers often require little to no enamel removal and can typically be completed in a single visit—making them a convenient and cost-effective option for many patients. With proper care, resin veneers can provide lasting aesthetic results while preserving your natural tooth structure.

Whether you're looking for a quick smile makeover or a more conservative alternative to porcelain, resin veneers can help you achieve a confident, refreshed look.

Schedule a consultation today to see if resin veneers are right for you.

COMPOSITE BONDING 

Cosmetic Dentistry in Reston, VA

Before: Patient had significant tooth loss on the far left molar due to repeated, aggressive, and improper brushing techniques.

Cosmetic Dentistry in Reston, VA

After (same-day): Composite bonding instantly transformed the tooth to fill tooth loss and recession area at the gumline.


Cosmetic Dentistry in Reston, VA

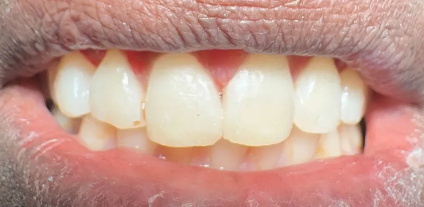
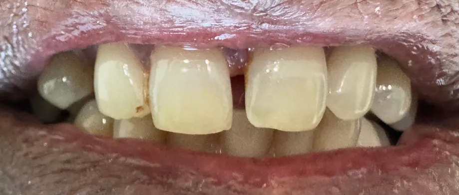
Before: Patient wanted to fix diastema (tooth gap) in front two teeth

Cosmetic Dentistry in Reston, VA

After (same-day): Composite bonding transformed patient's smile and addressed aesthetic concerns for the patient while maintaining a natural-looking smile.


Cosmetic Dentistry in Reston, VA

Before: Patient chipped front tooth

Cosmetic Dentistry in Reston, VA

After (same-day): Composite bonding was used to restore the tooth's shape while maintaining a natural-looking smile.



Quick, effective smile enhancements with natural-looking results.

Composite bonding is a simple yet highly effective cosmetic dental treatment used to repair chipped, discolored, or uneven teeth—and even to close small gaps (diastema). Using a tooth-colored composite resin, we sculpt and bond the material directly to your existing tooth, blending seamlessly with your natural enamel for a smooth, attractive finish.

This procedure is minimally invasive, often requires no drilling or anesthesia, and can usually be completed in just one visit. Whether you're looking to restore a single tooth or enhance multiple teeth for a more balanced smile, composite bonding offers an affordable and conservative option with immediate results.

Perfect for patients who want a fast and subtle improvement, composite bonding can give you the confidence to smile freely again.

Book a consultation today to learn how composite bonding can enhance your smile.

Contact Us

New Patients Welcome!

Our Location

Find us on the map

Hours of Operation

Monday:

9:00 am-5:00 pm

Tuesday:

8:00 am-4:00 pm

Wednesday:

11:00 am-7:00 pm

Thursday:

8:00 am-4:00 pm

Friday:

8:00 am-4:00 pm

Saturday:

Limited Openings

Sunday:

Closed