- Home >
- Invisalign Gallery
Invisalign Gallery
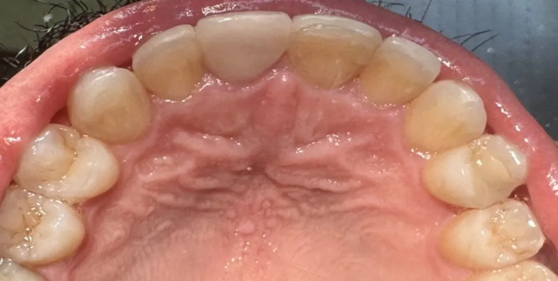
Pre-Op
Pre-Op: Patient wanted to fix overcrowding and overlap, as well as unhealthy gums on the lower arch and big overjet on the upper arch
Pre-Op
Pre-Op: Patient wanted to fix overcrowding and overlap, as well as unhealthy gums on the lower arch and big overjet on the upper arch
Post-Op
Post-Op: Corrected patient's concerns with aesthetics and significant improvement of gum health
Post-Op
Post-Op: Corrected patient's concerns with aesthetics and significant improvement of gum health
Pre-Invisalign
Pre-Invisalign: Patient wanted to fix crowding in upper front teeth
Pre-Invisalign
Pre-Invisalign: Patient wanted to fix crowding in upper front teeth
Post-Invisalign
Post-Invisalign: Patient was compliant with invisalign trays for the 12 month treatment course
Post-Invisalign
Post-Invisalign: Patient was compliant with invisalign trays for the 12 month treatment course
rayford-pre-invisalign1
Pre-Invisalign: Patient wanted to fix crowding of lower teeth
rayford-pre-invisalign1
Pre-Invisalign: Patient wanted to fix crowding of lower teeth
Post-Invisalign
Post-Invisalign: Patient's lower arch corrected through consistent use of Invisalign trays over the course of 12 months
Post-Invisalign
Post-Invisalign: Patient's lower arch corrected through consistent use of Invisalign trays over the course of 12 months