- Home >
- Testimonials >
- Smile Gallery
Gallery
Before and After Dental Photos - Smile Makeovers Reston,VA
Check out some of these amazing results from our patients!
Pre-op
Pre-op: patient has 3 brown dots (early decay) in addition to chipping on the incisal of the tooth
Pre-op
Pre-op: patient has 3 brown dots (early decay) in addition to chipping on the incisal of the tooth
Post-op
Post-op: bonding and tooth-colored filling was used to address the early decay as well as to fix the incisal chipping
Post-op
Post-op: bonding and tooth-colored filling was used to address the early decay as well as to fix the incisal chipping
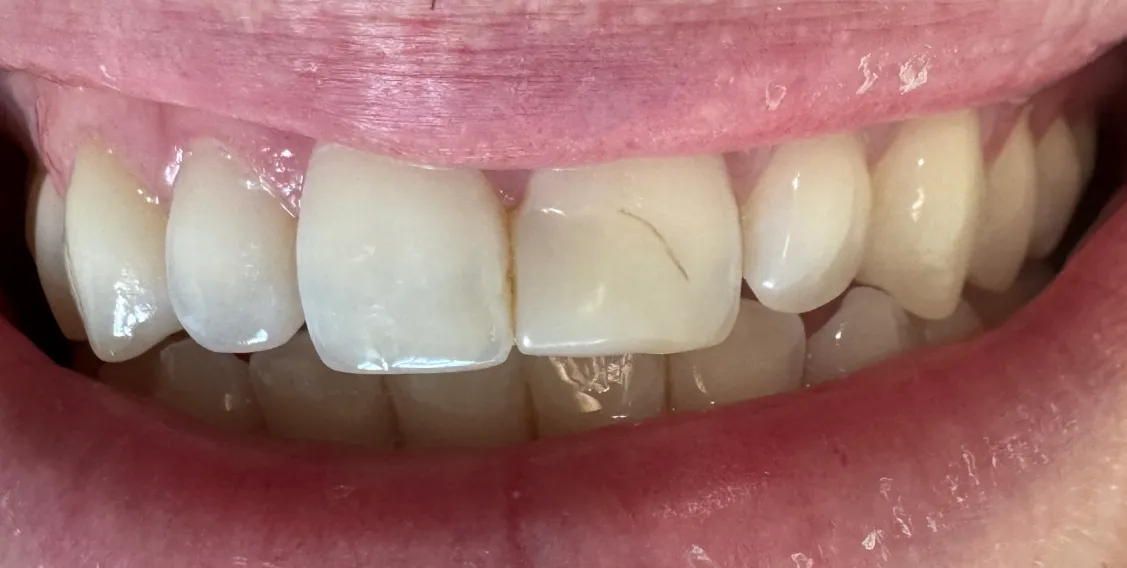
Pre-Op
Pre-Op: Patient had a dark line caused by recurrent decay from old filling
Pre-Op
Pre-Op: Patient had a dark line caused by recurrent decay from old filling
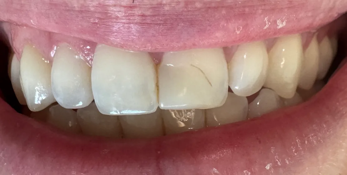
Post-Op
Post-Op: Aesthetic issue was corrected by cosmetic bonding
Post-Op
Post-Op: Aesthetic issue was corrected by cosmetic bonding
Pre-Op
Pre-Op: Patient did not like shape and color of natural teeth
Pre-Op
Pre-Op: Patient did not like shape and color of natural teeth
Post-Op (Same day)
Post-Op (Same day): Corrected with veneers
Post-Op (Same day)
Post-Op (Same day): Corrected with veneers
Pre-op: Patient did not like size, shape, and discoloration of anterior teeth
Pre-op: Patient did not like size, shape, and discoloration of anterior teeth
Pre-op: Patient did not like size, shape, and discoloration of anterior teeth
Pre-op: Patient did not like size, shape, and discoloration of anterior teeth
Post-op (same day): Corrected with veneers for 6 anterior teeth for a uniform finish
Post-op (same day): Corrected with veneers for 6 anterior teeth for a uniform finish
Post-op (same day): Corrected with veneers for 6 anterior teeth for a uniform finish
Post-op (same day): Corrected with veneers for 6 anterior teeth for a uniform finish
Pre-Op
Pre-Op: Patient wanted to whiten, smoothen, and fix discoloration
Pre-Op
Pre-Op: Patient wanted to whiten, smoothen, and fix discoloration
Post-Op (Same day)
Post-Op (Same day): Patient received crowns on the front 7 teeth
Post-Op (Same day)
Post-Op (Same day): Patient received crowns on the front 7 teeth
Pre-Op: Full mouth reconstruction to cosmetic crowns
Pre-Op: Full mouth reconstruction to cosmetic crowns
Pre-Op: Full mouth reconstruction to cosmetic crowns
Pre-Op: Full mouth reconstruction to cosmetic crowns
Post-op: minimal prep veneers to address patient's aesthetic of anterior teeth
Post-op (same day): minimal prep veneers to address patient's aesthetic of anterior teeth
Post-op: minimal prep veneers to address patient's aesthetic of anterior teeth
Post-op (same day): minimal prep veneers to address patient's aesthetic of anterior teeth
Pre-op: patient wanted to correct chipped tooth and alignment of anterior teeth
Pre-op: patient wanted to correct chipped tooth and alignment of anterior teeth
Pre-op: patient wanted to correct chipped tooth and alignment of anterior teeth
Pre-op: patient wanted to correct chipped tooth and alignment of anterior teeth
Post-Op (Same Day): Full mouth reconstruction to cosmetic crowns
Post-Op (Same Day): Full mouth reconstruction to cosmetic crowns
Post-Op (Same Day): Full mouth reconstruction to cosmetic crowns
Post-Op (Same Day): Full mouth reconstruction to cosmetic crowns
Pre-Op: Bleaching
Pre-Op: Bleaching
Pre-Op: Bleaching
Pre-Op: Bleaching
Post-Op (Same day): Bleaching
Post-Op (Same day): Bleaching
Post-Op (Same day): Bleaching
Post-Op (Same day): Bleaching
Pre-Op
Pre-Op: Patient wanted to fix overcrowding and overlap, as well as unhealthy gums on the lower arch and big overjet on the upper arch
Pre-Op
Pre-Op: Patient wanted to fix overcrowding and overlap, as well as unhealthy gums on the lower arch and big overjet on the upper arch
Post-Op
Post-Op: Corrected patient's concerns with aesthetics and significant improvement of gum health
Post-Op
Post-Op: Corrected patient's concerns with aesthetics and significant improvement of gum health
Pre-Invisalign
Pre-Invisalign: Patient wanted to fix crowding of lower teeth
Pre-Invisalign
Pre-Invisalign: Patient wanted to fix crowding of lower teeth
rayford-post-invisalign
Post-Invisalign: Patient's lower arch corrected through consistent use of Invisalign trays over the course of 12 months
rayford-post-invisalign
Post-Invisalign: Patient's lower arch corrected through consistent use of Invisalign trays over the course of 12 months
Pre-op
Pre-op: patient received implant; ready for stage 2: implant crown for tooth #6
Pre-op
Pre-op: patient received implant; ready for stage 2: implant crown for tooth #6
Post-op
Post-op: porcelain implant crown for implant tooth #6
Post-op
Post-op: porcelain implant crown for implant tooth #6
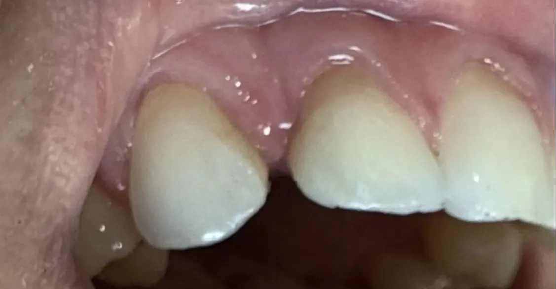
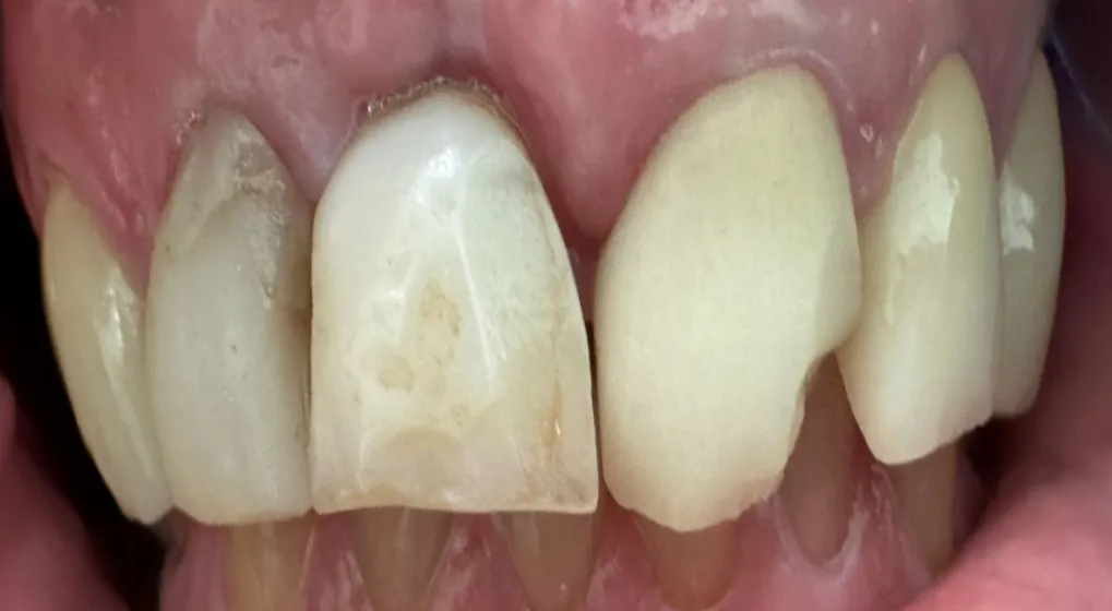
Pre-Op
Pre-Op: Patient had visible decay in front tooth
Pre-Op
Pre-Op: Patient had visible decay in front tooth
Post-Op
Post-Op: Issue was corrected through tooth-colored filling as well as cosmetic bonding for aesthetics correction
Post-Op
Post-Op: Issue was corrected through tooth-colored filling as well as cosmetic bonding for aesthetics correction
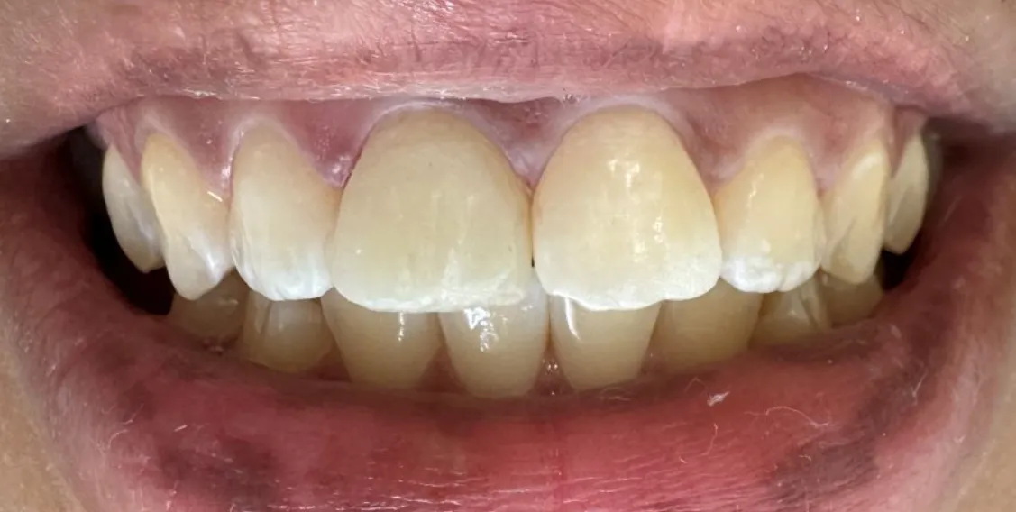
Pre-Op: Patient wanted to close front teeth gap (diastema) and fix discoloration
Pre-Op: Patient wanted to close front teeth gap (diastema) and fix discoloration
Pre-Op: Patient wanted to close front teeth gap (diastema) and fix discoloration
Pre-Op: Patient wanted to close front teeth gap (diastema) and fix discoloration
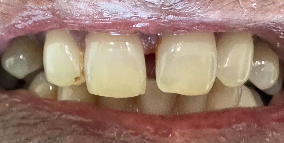
firth-bonding-post
Post-Op (Same Day): corrected with resin veneers (bonding) to create natural-looking smile while addressing patient's concerns
firth-bonding-post
Post-Op (Same Day): corrected with resin veneers (bonding) to create natural-looking smile while addressing patient's concerns
Pre-Op: Bonding
Pre-Op: Patient wanted to address concern with broken tooth
Pre-Op: Bonding
Pre-Op: Patient wanted to address concern with broken tooth
Post-Op (same day)
Post-Op (same day): Corrected with tooth colored filling and cosmetic bonding
Post-Op (same day)
Post-Op (same day): Corrected with tooth colored filling and cosmetic bonding
Pre-Op: Bonding
Pre-Op: Patient wanted to fix diastema (tooth gap), chipped tooth, discoloration
Pre-Op: Bonding
Pre-Op: Patient wanted to fix diastema (tooth gap), chipped tooth, discoloration
Post-Op (Same day): Bonding
Post-Op (Same day): Corrected with cosmetic bonding
Post-Op (Same day): Bonding
Post-Op (Same day): Corrected with cosmetic bonding
Post-Op (Same day): Veneers
Post-Op (Same day): Veneers
Post-Op (Same day): Veneers
Post-Op (Same day): Veneers
Pre-Op
Pre-Op: Patient had decay and discoloration and wanted to address aesthetic concerns as well
Pre-Op
Pre-Op: Patient had decay and discoloration and wanted to address aesthetic concerns as well
Post-Op (Same day)
Post-Op (Same day): Corrected with cosmetic crowns
Post-Op (Same day)
Post-Op (Same day): Corrected with cosmetic crowns
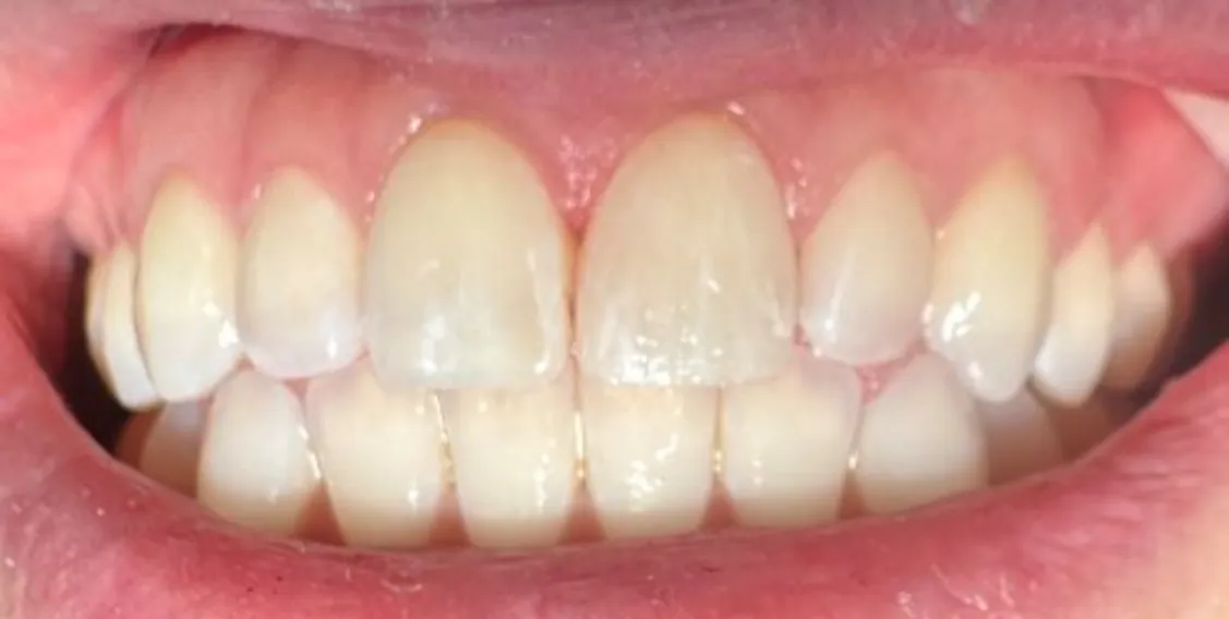
Post-Op (Same day): Bonding
Post-Op (Same day): Patient wanted composite bonding to fill in tooth gaps on the top arch. Results immediately after completed procedure
Post-Op (Same day): Bonding
Post-Op (Same day): Patient wanted composite bonding to fill in tooth gaps on the top arch. Results immediately after completed procedure
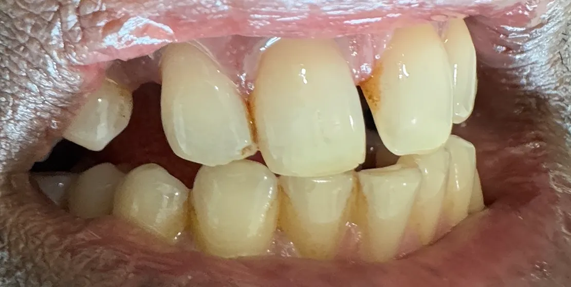
Pre-Op
Pre-Op: Patient had chipped front tooth as well as aesthetic concerns with anterior teeth
Pre-Op
Pre-Op: Patient had chipped front tooth as well as aesthetic concerns with anterior teeth
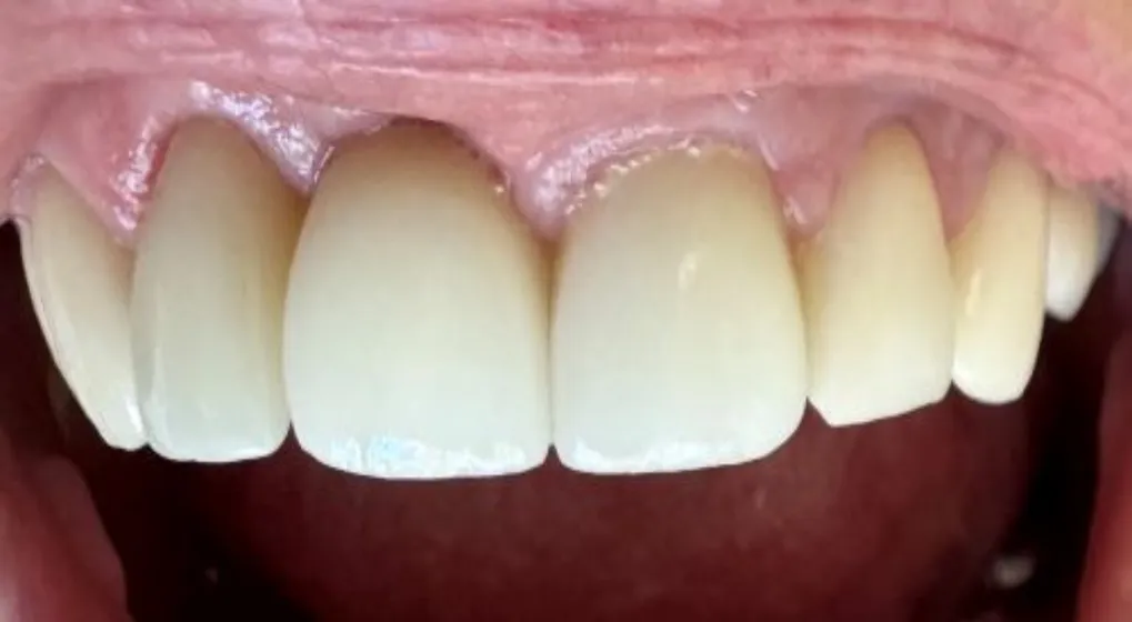
Post-Op (Same day)
Post-Op (Same day): Corrected with cosmetic veneers on anterior 6 teeth
Post-Op (Same day)
Post-Op (Same day): Corrected with cosmetic veneers on anterior 6 teeth
IMG_5402_before
Pre-Op: Patient had chipped front tooth
IMG_5402_before
Pre-Op: Patient had chipped front tooth
Post-Op (Same day)
Post-Op (Same day): Corrected with composite bonding
Post-Op (Same day)
Post-Op (Same day): Corrected with composite bonding
Pre-Invisalign: Patient wanted to fix crowding in upper front teeth
Pre-Invisalign: Patient wanted to fix crowding in upper front teeth
Pre-Invisalign: Patient wanted to fix crowding in upper front teeth
Pre-Invisalign: Patient wanted to fix crowding in upper front teeth
Post-Invisalign
Post-Invisalign: Patient was compliant with invisalign trays for the 12 month treatment course
Post-Invisalign
Post-Invisalign: Patient was compliant with invisalign trays for the 12 month treatment course
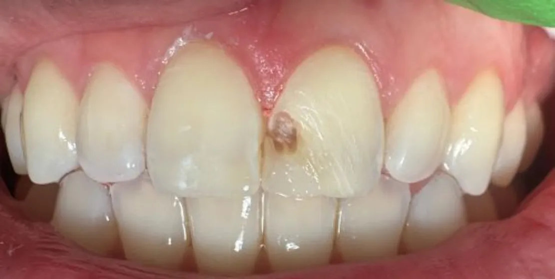
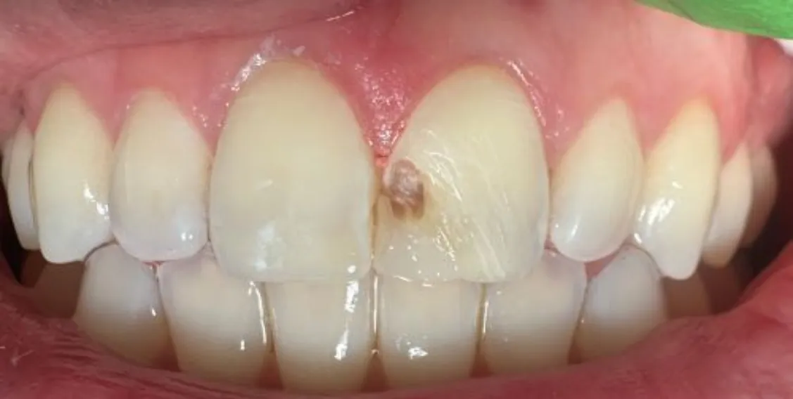
Pre-Op: Tooth Color Filling/Bonding
Pre-Op: Present decay and discoloration
Pre-Op: Tooth Color Filling/Bonding
Pre-Op: Present decay and discoloration
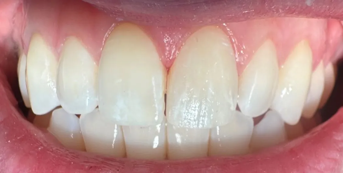
Post-Op (Same day): Tooth Color Filling/Bonding
Post-Op (Same day): Corrected with tooth color filling/bonding
Post-Op (Same day): Tooth Color Filling/Bonding
Post-Op (Same day): Corrected with tooth color filling/bonding
Pre-Op: Old leaked decayed silver filling
Pre-Op: Old leaked decayed silver filling
Pre-Op: Old leaked decayed silver filling
Pre-Op: Old leaked decayed silver filling
Post-Op (Same day): Tooth Color Fillings
Post-Op (Same day): Tooth Color Fillings
Post-Op (Same day): Tooth Color Fillings
Post-Op (Same day): Tooth Color Fillings
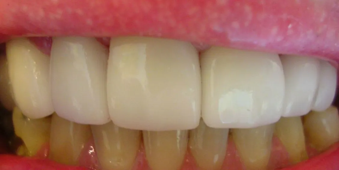
Post-Op (Same day)
Post-Op (Same day)
Post-Op (Same day)
Post-Op (Same day)
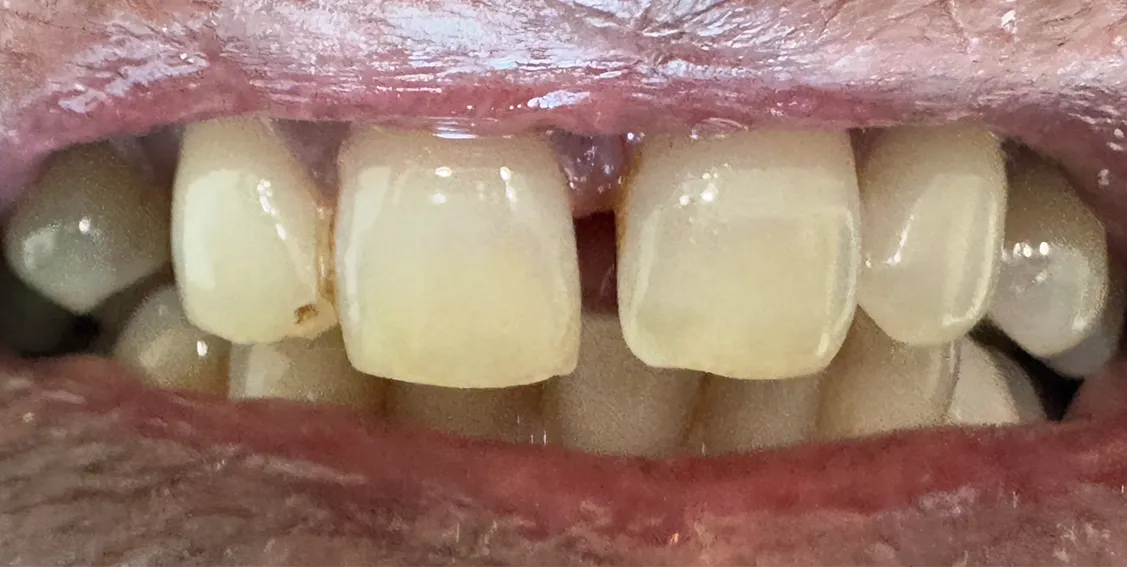
Pre-Op
Pre-Op- Loss of tooth structure and gum-line due to aggressive chronic brushing add grinding/clenching will magnify 5x damage
Pre-Op
Pre-Op- Loss of tooth structure and gum-line due to aggressive chronic brushing add grinding/clenching will magnify 5x damage
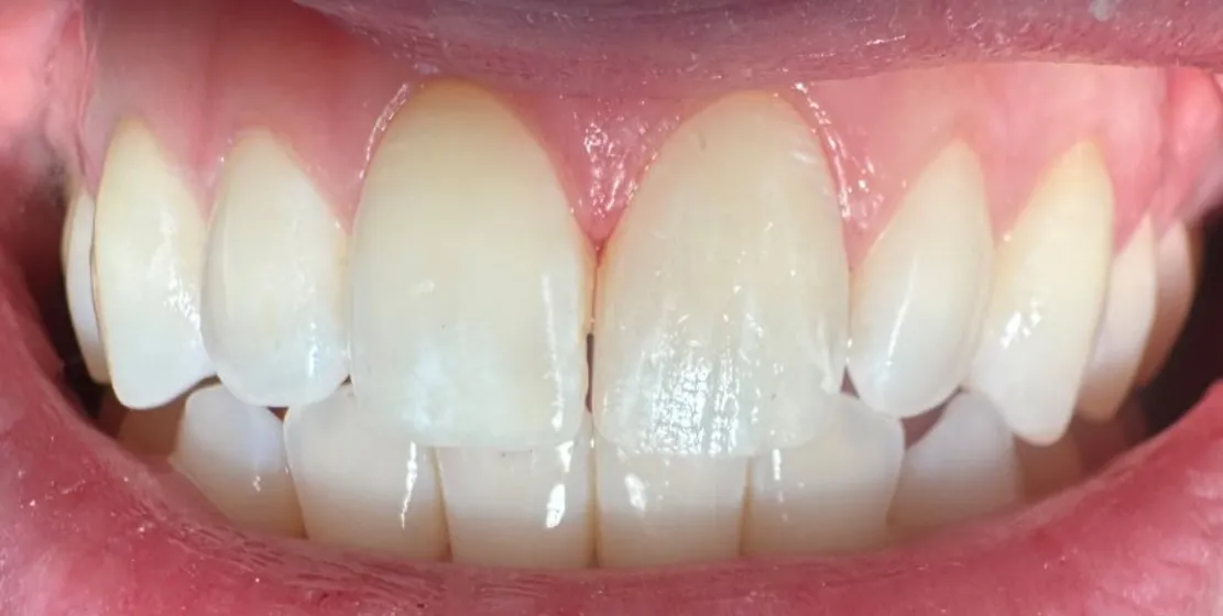
Post-Op (Same day)
Post-Op (Same day): Bonding at recession gumline
Post-Op (Same day)
Post-Op (Same day): Bonding at recession gumline
Pre-op: patient wanted to correct diastema in upper front teeth
Pre-op: patient wanted to correct diastema in upper front teeth
Pre-op: patient wanted to correct diastema in upper front teeth
Pre-op: patient wanted to correct diastema in upper front teeth
Post-op (same day): 4 bondings to fix diastema
Post-op (same day): 4 bondings to fix diastema
Post-op (same day): 4 bondings to fix diastema
Post-op (same day): 4 bondings to fix diastema
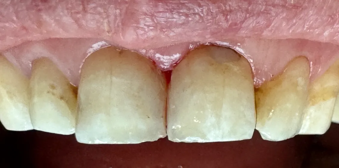
Pre-Op - Recession Bonding
Pre-Op - Tooth loss due to repeated aggressive improper brushing techniques. (see above tooth on your right)
Pre-Op - Recession Bonding
Pre-Op - Tooth loss due to repeated aggressive improper brushing techniques. (see above tooth on your right)
Post-Op - Recession Bonding
Post-Op (Same day): Simple Bonding instantly tranform the tooth, to fill the tooth loss and recession area at gumline (see above tooth on your right)
Post-Op - Recession Bonding
Post-Op (Same day): Simple Bonding instantly tranform the tooth, to fill the tooth loss and recession area at gumline (see above tooth on your right)